看智齿千姿百态尽显妖娆,常见智齿阻生照片一组
智齿释义:
智齿是指人类口腔内牙槽骨上最里面的第三颗磨牙,从正中的门牙往里数刚好是第八颗牙齿。由于它萌出时间很晚,一般在16~25岁间萌出,此时人的生理、心理发育都接近成熟,有“智慧到来”的象征,因此被俗称为“智齿”。智齿生长方面,个体有很大差异,通常情况下应该有上下左右对称的4颗牙,有的少于4颗甚至没有,极少数人会多于4颗。萌出的年龄差异也很大,有的人20岁之前萌出,有人40、50岁才长或者终生不长,这都是正常现象。




搜集平日里拍片常见的智齿图片,看看你的牙与下面几图相似。

左侧智齿倾斜阻生,顶坏前牙

图片2.右侧智齿倾斜阻生顶坏前牙

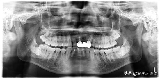
图片3

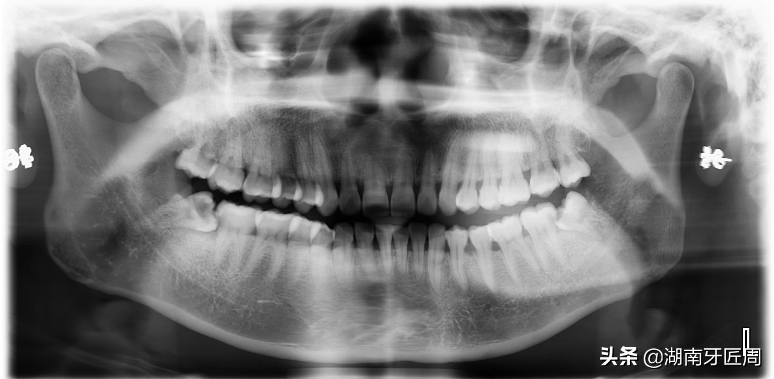
图片4.右侧智齿水平阻生,你能知道我的存在?

图片5.左侧智齿埋伏水平阻生

图片6.右侧上颌智齿接近水平阻生

图片7两侧下颌智齿阻生

图片8
在原始人类阶段,由于粗糙食物的磨耗,牙齿的高度和宽度不断减少,后面牙齿有足够的空间依次的向前移动,从而使我们的第三颗磨牙(也就是智齿)能够在16岁左右开始萌出。
但是现代随着人类食物日亦精细,牙齿的磨耗日益减少,同时由于咀嚼精细食物对颌骨的刺激降低,使得颌骨慢慢退化,逐渐缩小,这就不可避免的造成牙齿萌出空间不足,智齿的萌出时间也相应的推迟到成年之后,也就是18~30岁之间,由于一般认为这个阶段是智力发育的高峰时期,所以人们常常称这颗牙齿叫做“智齿”,也就产生了“智齿”的说法。
智齿是第三磨牙,俗称“立事牙”,是牙列中最后一颗牙。这颗牙大约在于18岁至30岁之间萌出,所以称立事牙。
下颌骨结构得不到充分的咀嚼功能锻炼,逐渐退化,牙量大于下颌骨量,这样当第三磨牙长出时就常常位置不够,以致萌出困难,这就形成了“智齿阻生”,智齿阻生是青壮年人的一种常见病。
阻生的智齿可以引起牙列不齐,冠周间隙感染,张口困难,第二磨牙龋坏,严重的还可引起颌骨骨髓炎等。
如果发现有智齿阻生,并反复引起发炎的,就应该早日拔除,以免引起其它症状或疾病,如果已形成智齿冠周炎,应给予抗生素治疗,待炎症控制后再行拔除。
下颌智齿能够正常萌出并且有正常的咬颌关系者仅仅占很少数,“智齿”萌出时由于没有足够的空间,很容易长歪,例如出现向颊侧或者舌侧倾斜、向前后倾斜等情况。
常常出现牙冠仅有部分萌出,外露于牙龈之外,另一部分被牙龈覆盖,即在牙龈与牙体之间形成一个狭窄较深的袋子形状的结构,医学上称之为“盲袋”,亦称为“龈袋”,龈袋内容易积存食物碎屑和细菌,一般刷牙、漱口又难以清洗干净;加之冠部牙龈易因咀嚼食物而引起局部损伤,容易形成溃疡。当全身抵抗力下降、细菌毒力增强时,便可引起牙冠周围组织炎症,即智齿冠周炎。
标签:
53
炒芹菜时,要不要先焯水?饭店大厨告诉你,这样才是正确做法 说起吃芹菜,相信大部分人小时候都不太爱吃,芹菜口感偏硬,不像普通绿叶菜那样软烂,而且有一股说不出的怪味,难...
118
这样做蒜黄真是太好吃了,简单快捷,鲜香味美,吃起来比肉都香 “食不厌精,脍不厌细”。大家好,欢迎关注萌蒂美食说。我们每天为大家分享关于美食的知识,如何选购食材、制作...
160
11张痛哭的图片:第3、5、8张图,看的小编都哭得写不下去了! 11张痛哭的图片:第3、5、8张图,看的小编都哭得写不下去了!图为:北京,在国旗护卫队营房前,十几名退役老兵面对...
183
52岁“巢皮”近照发福严重,与郑伊健传不和多年,曾怒斥:没道义 6月30日,黄一山在个人社交账号上晒出一组与洪天明、朱永棠尬舞的视频。 视频中,三位“老男人”跳起了最近大热...
118
点赞!漯河职院毕业生宋学华登顶珠峰 河南日报客户端记者 卢松 通讯员 王丹 5月18日清晨,浙江省登山队的5名队员成功登顶珠峰,他们是国内首支登顶珠峰的省级登山队。其中毕业于...
90
史上最全系列之鉴别Dior999口红真假的17种方法 Dior999是经典的正红色,因为上唇非常的显白,唇膏质地滋润,色泽饱满,并且迪奥999是大牌届唯一找不到任何平价替代品的口红,所以受...
130
去泉州惠安旅游一定不要错过这些地方 从湖南来的表姐,一定要去看海!不知道她从哪里听说泉州有个地方叫惠安,惠安女很出名,崇武古城很出名。于是……我带她去看看和“听说”...
171
9个经典魔术不为人知的真相 当你在观看魔术的时候,一些危险的动作会让你紧张到爆,尤其是当剑穿过演员的身体的时候,你也替他捏了一把冷汗!你会一边惊叹魔术师的神奇,一边...
120
中小学教师想调动到教育局,以为是升官,去了才发现样样不如老师 很多在岗的一线教师,如今被“双减政策”折磨得苦不堪言。平日加班更多不说,周六还得到学校辅导学生。 一线...
61
究竟什么才是人的本心?寻源悟道,感悟本心 在一些心灵类的书籍中我们时常会读到“人活着要追随自己的本心”一类的话,但究竟什么是自己的本心却没有人真正说得清楚。本心似乎...
86
去东戴河的最佳时间在7-9月份,推荐东戴河民宿前十名给大家 随着城市生活节奏的日益紧张,人们渴望逃离喧嚣,寻找一片宁静的天地,东戴河成为越来越多游客的理想目的地。坐落在...
193
方腊为何会被消灭?能够拯救方腊的高人被包道乙杀了 文英占玩极精详,进谏之言亦善良。妖道不知天命在,怒将雄剑斩身亡。 水浒传中,山东的宋江、淮西的王庆、河北的田虎、江...
138
Funplus官宣,除FPX外竟然还有这个王牌 2021年12月28日,FPX俱乐部迎来了四周年庆典,这支2017年成立的战队,四年时间里历尽沉浮,此前战队刚经历洗牌重组,以林炜翔为核心组建的全新...
179
华为P70系列来了,首发麒麟9010处理器,Ultra影像能力直接拉满 华为Pura 70系列这次是先上市了再说,该系列合计4款产品,分别是华为Pura 70、华为Pura 70 Pro、华为Pura 70 Pro+和华为Pura 70 U...
119
巴西在哪里?它有多大? 巴西全称「巴西联邦共和国」,位于南美洲「América do Sul 」东部,东临大西洋「 Oceano Atlântico」,海岸线长达7,491公里,领土面积为 851.57万平方公里「km²」...
176
4年玩家总结任天堂Switch值得入手的5大理由 Switch配置差,但新的财报显示全世界已经卖出了8459万台,软件5.87亿份。为什么同样的价格,有的朋友不买性能更好的其他机种,而选择Swit...
143
老人直播间买千件珠宝首饰投资,花光儿子婚房钱70多万 想拥有让人羡慕的好运气?那就从关注我开始吧!点赞关注,让你财运亨通,福气满满! 七旬老人倾家荡产,只为直播间里的“...
157
著名制片人直播下跪求影院排片!张馨予回应劲爆视频勾3男吻1女 1、张馨予回应劲爆视频勾3男吻1女! 有媒体曝光一段张馨予与《思美人》剧组人员聚餐吃饭的偷拍视频。遭三名男子搂...
159
百师讲客:客家人下南洋始末 客家人所称的「南洋」,指的是东南亚。客家人迁徙海外的最重要驿站是香港,而最密集的目的地,则是东南亚。这一现象直到二十世纪末才开始改变。...
194
6部韩国惊悚电影推荐!《第8夜》《女高怪谈6》惊悚必看 近几年有不少的韩国惊悚电影都获得不错的评价,像是孔刘、朴宝剑主演的《永生战》、颇受好评的《催魂频率》。而目前也有...